Comprendre les
maladies infectieuses
Comprendre les maladies infectieuses
CEA

Nos recherches

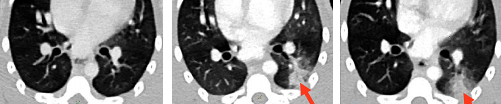
De la tuberculose au VIH / SIDA, les équipes d’IDMIT mènent des recherches sur différentes maladies infectieuses, participent au développement de traitements et de vaccins. L'expertise acquise au fil des années leur a permis d'être préparées pour répondre à l'urgence de la pandémie de Covid-19.