Covid-19
Virus, Covid 19 : la réponse immunitaire
Virus, Covid-19 : traitements & vaccins
Des recherches menées dans l’urgence de la pandémie
Fin 2019, des cas de pneumonie virale sont décrits à Wuhan, en Chine. En janvier 2020, le pathogène à l'origine de cette maladie dénommée Covid-19 est identifié et décrit. Il s'agit d'un nouveau coronavirus qui prendra le nom de SARS-CoV-2. Fin janvier, l'Organisation Mondiale de la Santé (OMS) déclare que l'épidémie est une urgence de santé publique internationale. Les équipes d’IDMIT, dédiées aux recherches sur les maladies infectieuses humaines, savent déjà qu'elles auront un rôle à jouer.
En février 2020, IDMIT obtient de l'Institut Pasteur l’une des premières souches du virus SARS-CoV-2 isolées en France pour commencer à mettre au point un modèle animal d'infection mimant la pathologie observée chez l'humain. Le but est de décrypter la maladie et de trouver en urgence des traitements curatifs et préventifs.
Au même moment, les équipes d’IDMIT au Centre Hospitalier Universitaire de Bicêtre, participent aux recherches cliniques et à la création et la gestion de banques d'échantillons provenant de patients. Objectifs : identifier des facteurs de comorbidité et des traitements efficaces. Des programmes d'essais cliniques démarrent. À Fontenay-aux-Roses, les laboratoires sont transformés pour accueillir le nouveau pathogène avec les normes de sécurité qui s'imposent. IDMIT dispose d'un ensemble de laboratoires adaptés, les projets s'annoncent nombreux. Les procédures sont revues en détails et validées sans délai ni dérogation aux normes habituelles ou à la réglementation, grâce à la mobilisation de l'ensemble des acteurs des chaînes de validation (CEA, Ministères, comités d'éthique). À travers le monde, des consortiums auxquels IDMIT participe se mettent en place pour mutualiser les moyens et les compétences. Tous les efforts sont concentrés sur la nouvelle épidémie. Il y a urgence.
À fond dans la course
Immédiatement, IDMIT se mobilise pour monter des projets et participer aux efforts de recherche contre la Covid-19 :
Les modèles dans la recherche en biologie santé
Dans le domaine de la biologie-santé, un modèle représente un objet (cellule, organe, organisme) ou un processus (fonctions physiologiques [digestion, respiration, …], évolution d’une maladie, réactions d’un organisme, …) qui remplace l’objet ou le processus original pour l’étudier de façon contrôlée et sans risques pour l’être humain.
Le fonctionnement des êtres vivants est très complexe. Comprendre les pathologies humaines et développer de nouvelles thérapies nécessitent de les explorer à différents niveaux d’organisation : molécule, cellule, organe, individu.
Les études sur les premiers niveaux d’organisation (cellules ou des assemblages de cellules) peuvent être réalisées en dehors de l'organisme, dans des éprouvettes par exemple. C'est la recherche in vitro.
Une partie du fonctionnement d'une cellule ou d'un organe peut être étudiée sur ordinateur (modélisation informatique). On parle alors de recherche in silico.
Pour étudier les processus les plus complexes et reproduire les interactions multiples au sein d'un organisme vivant, l'utilisation des animaux est une pratique scientifique indispensable. Il s'agit alors de la recherche in vivo. Dans le cas des maladies infectieuses par exemple, la complexité d'une infection virale ou de la réponse immunitaire ne peut pas être reproduite par un modèle in vitro ne représentant que partiellement un organisme.
Qu’est-ce qu’un modèle animal ?
C’est une représentation chez l’animal d’un processus biologique normal ou pathologique chez l'humain. La caractérisation de cette représentation, sa capacité à "mimer" le processus chez l'humain et sa pertinence pour le développement de traitements ou de vaccins font l’objet de travaux scientifiques approfondis.
Cette pertinence est fondée, comme pour tout modèle expérimental, sur la similitude chez le modèle et chez l'humain, des mécanismes impliqués dans le processus étudié, depuis la cause jusqu’à l’expression des effets. Les programmes faisant appels aux modèles in vivo font l’objet d’une double validation : celle de comités d’experts scientifiques, et celle des comités d’éthique et du Ministère de l’Enseignement supérieur, de la Recherche et de l’Innovation.
Il permet de mieux comprendre certaines pathologies humaines difficiles à étudier autrement.
C’est souvent un animal présentant une pathologie comparable à celle observée chez l'humain et apparue de façon naturelle (modèle spontané) ou induite (infection par un virus, intervention chirurgicale, modification d’un gène, utilisation d’un produit chimique).
Il permet aussi de mieux comprendre le fonctionnement des organes sains, en dehors de toute pathologie, préalable nécessaire à une meilleure compréhension des maladies.
Des choix discutés aux plus hauts niveaux
Le 11 mars 2020, l'OMS estime que l'épidémie de Covid-19 peut être qualifiée de pandémie. IDMIT a mis au point son modèle préclinique d'infection. Les chercheurs s'apprêtent à tester les premiers vaccins et traitements : il s'agira dans un premier temps de molécules repositionnées, c'est-à-dire des molécules qui ont déjà une autorisation de mise sur le marché dans le cadre d'autres pathologies, mais dont on pense qu'elles pourraient avoir une action sur la Covid-19. Les choix stratégiques sont discutés aux plus hauts niveaux. Fin mars, à la demande du Conseil Scientifique et du consortium REACTing, IDMIT débute l'évaluation de l'hydroxychloroquine en traitement et en prévention, associée ou non avec d'autres molécules.
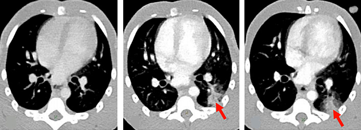
Les essais précliniques démarrent en parallèle des essais cliniques : paradoxalement, malgré le contexte de pandémie, les patients susceptibles d'être inclus dans des essais cliniques ne sont pas assez nombreux pour espérer obtenir des résultats suffisamment rapidement. Il faut contrôler tous les paramètres pour interpréter les résultats sans ambiguïté. Les équipes d'IDMIT étudient en détails les effets de la maladie : symptômes, lésions, dissémination du virus dans l'organisme, détection et dosage du virus par test PCR dans les différents tissus, évolution de la maladie, mécanismes immunitaires, modes de contamination, de transmission, … Certaines de ces données ne sont pas accessibles chez l'humain. Les échanges entre IDMIT et les cliniciens sont nombreux pour orienter au mieux les essais cliniques et les traitements. Les informations sont transmises à l'OMS, l'ANSM, REACTing et le Conseil Scientifique pour les aider dans leurs prises de décisions.
Virus, SARS-CoV-2 et Covid-19 : les tests de détection
Tout s'explique : Covid-19, nouveaux tests
Les tests bandelettes : tests sérologiques / tests virologiques
Pour en savoir plus sur les tests bandelettes (Espace Presse CEA)
Les tests par spectrométrie de masse :
Covid-19, les étapes d'une recherche menée dans l'urgence de la pandémie
Tout le CEA mobilisé
Dès mai 2020, IDMIT présente ses résultats à l'OMS : l'hydroxychloroquine n'est pas efficace dans un modèle animal, ni comme traitement ni en prévention. D'autres molécules de repositionnement sont testées, mais pour l'instant aucune ne s'est révélée efficace. À l'hôpital, les chercheurs d'IDMIT prennent en charge les échantillons provenant de patients atteints de la Covid-19 pour les caractériser, les classer et les répertorier dans des biobanques consultables et accessibles à la communauté scientifique
À l'Institut de biologie François Jacob, le Centre National de Recherche en Génomique Humaine (CNRGH) se prépare à séquencer de façon massive le virus et ses variants dans des enquêtes Flash et participe à un consortium de surveillance génomique. Le Genoscope met au point une nouvelle méthodologie de dépistage.
D'autres équipes du CEA développent des méthodes de détection du virus dans des échantillons ou dans l'air expiré, testent l'efficacité de masques grand public, étudient l'accrochage du virus sur nos cellules, transposent leur technologie pour développer un vaccin contre la Covid-19. Tout le CEA est mobilisé.
Le CEA et la crise Covid-19 : résilience et dynamique.
Parallèlement, IDMIT contribue au développement de nouveaux candidats vaccins : les technologies utilisées dans la lutte contre le VIH / SIDA sont adaptées, des nouvelles approches (vaccins à ARN messager ou à ADN) sont évaluées.
Covid-19, des vaccins à la vitesse de l'éclair
Un vaccin est nécessaire pour endiguer efficacement, à moyen et long terme, une pandémie comme celle de la Covid-19. Le développement de vaccins contre le virus responsable de la maladie, le SARS-CoV-2, a débuté dès la publication de la séquence du génome viral. Ce développement a progressé à une vitesse sans précédent, avec un premier essai clinique réalisé peu de temps après, en mars 2020. Un an plus tard, une dizaine de vaccins reposant sur des concepts différents sont autorisés dans le cadre de procédures d'urgence. Les chercheurs d'IDMIT contribuent à l’évaluation de l’efficacité de plusieurs approches, comparent leurs propriétés et leur adéquation aux défis de la pandémie, en particulier l'émergence de nouveaux variants viraux.
Pour lire l'intégralité de l'article : COVID-19, des vaccins à la vitesse de l’éclair
Nous avons des vaccins. Pourquoi en chercher d’autres ?
La première génération de vaccins développés contre la Covid-19 nous permet de lutter contre la progression de la pandémie, avec pour certains une logistique de conservation assez complexe.
Des questions demeurent encore : ils protègent des formes graves de la maladie, mais quelle est leur efficacité sur la transmission entre individus ? Sur le risque d'infection ? Pendant combien de temps protègent-ils ? Faudra-t-il des rappels ? Seront-ils efficaces contre tous les variants ? Qu’en est-il des comorbidités ?
La recherche doit se poursuivre, pour répondre à ces questions et permettre un accès aux vaccins partout dans le monde afin de contrôler la maladie et sa contagiosité. Objectif : l'éradication de la Covid-19.
De nouveaux modèles pour aider à la prise de décision
Parmi les vaccins testés, trois approches complémentaires sont en cours d'évaluation :
- des vaccins à ARN messager, dont la stabilité et la capacité à induire des anticorps sont optimisées par comparaison aux générations précédentes, développées notamment pour cibler certains cancers
- des vaccins à ADN utilisant de nouveaux vecteurs pour augmenter l'efficacité à long terme après une seule injection, et sans rappel de vaccination
- des vaccins contenant des protéines modifiées du virus, très efficaces pour induire la production d'anticorps, et dont la sécurité est prouvée dans d'autres domaines. Malgré des contraintes importantes de production, ces vaccins représentent des approches intéressantes pour le contrôle de la pandémie si elle s'installait comme une maladie saisonnière.
Une collaboration avec des mathématiciens modélise la dynamique de l'infection pour orienter les essais.
Des projets plus fondamentaux sont aussi en cours, pour en apprendre plus sur la maladie, avec des études sur :
- les variants du SARS-CoV-2
- les comorbidités et risques d'infection ou de développement de formes graves
- la senescence cellulaire, particulièrement dans les poumons
- le comportement des bulbes olfactifs lors de l'infection
- l'effet de la vaccination chez les convalescents
- l'efficacité des vaccins chez les patients sous traitements immunosuppresseurs
- les conséquences d'une infection par le SARS-CoV-2 sur le microbiote intestinal : les résultats montrent que le microbiote est modifié de façon durable
- la prévention et le traitement de l'infection par des anticorps monoclonaux
- la recherche de gènes de susceptibilité à des formes graves de la maladie.
L'urgence de la situation a permis de consolider les partenariats existants et d'en créer de nouveaux. Elle a aussi permis de développer très rapidement des outils techniques pour répondre aux questions scientifiques et adapter la totalité de l'installation à l'étude d'une maladie respiratoire. Ces études complémentent d’autres programmes d'IDMIT sur les pathologies comme la grippe ou la tuberculose.
IDMIT : les experts
Forts de leur expérience dans le domaine des maladies infectieuses, les chercheurs d'IDMIT ont étudié la Covid-19 dès le début de la pandémie. Ils sont à l’origine de publications et revues de littérature scientifiques de premier plan :
- Hydroxychloroquine et études précliniques : un tour du monde en cinq modèles expérimentaux
- Modèles expérimentaux et Covid-19
- Les modèles primates non humains d'infections respiratoires humaines (en anglais)
- Un ouvrage sur les innovations des pratiques médicales, actuelles et à venir
- Les marqueurs de prédiction de l'efficacité d'un vaccin (en anglais)
- Une étude préclinique met en lumière un nouveau candidat vaccin dans la lutte contre la Covid-19
- Covid-19 : développement d'un nouveau candidat-vaccin stimulant les cellules dendritiques
- Immunité durable et stabilité : coup double pour un nouveau candidat vaccin anti-Covid
Virus, Covid 19 : la réponse immunitaire