La conception d'architectures optiquement actives à base de nanoclusters d'or (AuNCs) a connu un grand engouement au cours de ces dernières années. Ces architectures constituent une nouvelle classe de particules ultra-petites (<3 nm) connues pour leur photoluminescence, leur photo-stabilité et une biocompatibilité élevée.
Dans le cadre de ce projet collaboratif, les chercheurs ont relevé le challenge de conjuguer des fragments d'ADN aux AuNCs avec une stœchiométrie totalement contrôlée. Pour cela, ils ont développé une ingénierie des ligands et une fonctionnalisation contrôlée de l'ADN pour des nanoclusters de tailles définies, leur permettant de construire des assemblages unidimensionnels (1D) de nanoclusters ainsi que des architectures tridimensionnelles (3D). Leur caractérisation, combinant un ensemble d'approches analytiques, structurales et d'analyses optiques, a montré une reproductibilité et un rendement d'assemblage élevés de ces superstructures.

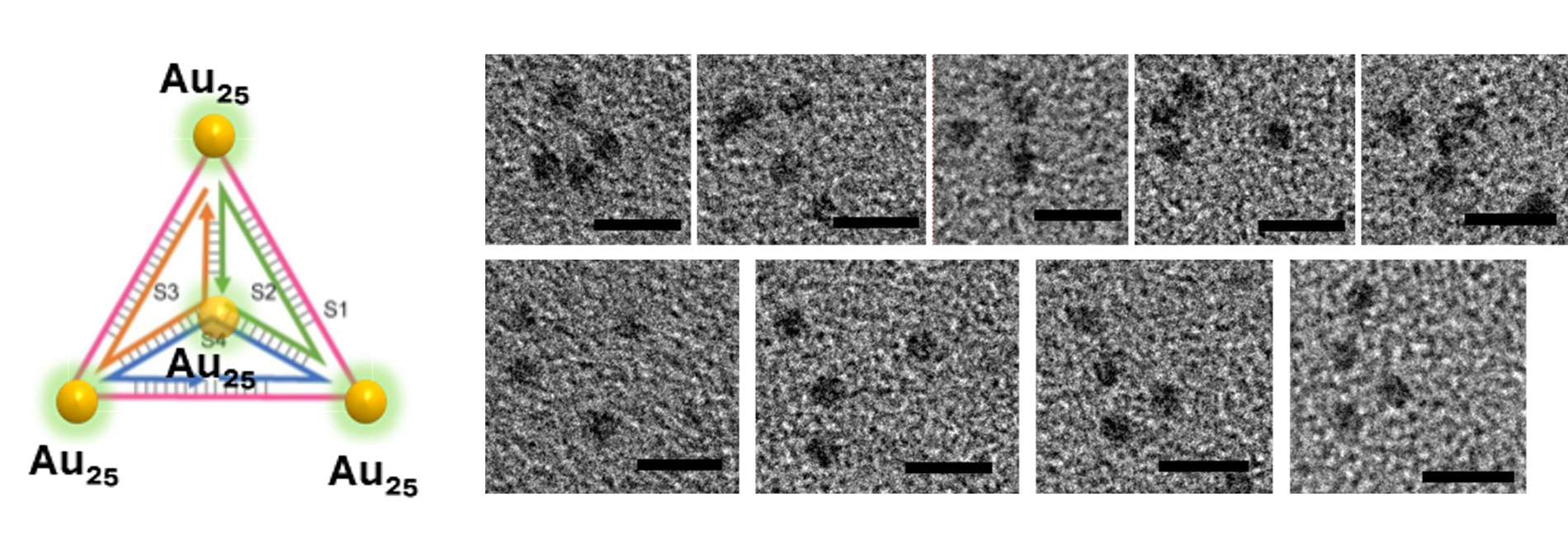
Figure : (A) Représentation schématique d’un tétraèdre d’ADN fonctionnalisé par 4 nanoclusters d’or à ses sommets. (B) Images de Microscopie Electronique à Transmission (TEM) des nanostructures tétraédriques hybrides ADN-nanoclusters (échelle = 5nm). © CEA-Irig/SyMMES/D. Gasparutto
Ces travaux établissent une base synthétique et analytique primordiale pour la fabrication, avec de hauts rendements et une grande pureté, de nano-architectures photoniques multidimensionnelles définies. Ces plateformes biohybrides ouvrent des perspectives particulièrement intéressantes pour leurs applications comme
agents théranostiques* originaux.
nanomatériaux photoniques*: matériaux de dimensions proches des longueurs d'onde de la lumière visible qui interagissent avec cette dernière.
agents théranostiques*: molécules ou nanomatériaux utilisés pour l'imagerie (diagnostic) et/ou la thérapie (thérapeutique).
UMR :
SyMMES, UMR 5819 CEA / UGA / CNRS / Grenoble-INP - UGA
Financements :
UGA (CBH-EUR), ANR, Labex Arcane et Labex Gral, CEA-PTC
Collaborations :
Institut de Biologie Structurale (IBS), CEA-Irig
Institut de Biologie Avancée de Grenoble (IAB)