Pour accéder à toutes les fonctionnalités de ce site, vous devez activer JavaScript. Voici les instructions pour activer JavaScript dans votre navigateur Web.
En 2010 et 2011, deux appels d’offre « Infrastructures Nationales en Biologie et Santé » ont été lancés dans le cadre du programme Biologie et Santé des Investissements d’Avenir (IA), soulignant l’importance des infrastructures technologiques de recherche pour maintenir une recherche d’excellence dans le domaine des sciences du vivant.
Actualités scientifiques du CEA de l'Institut de Biologie François Jacob.
Une étude internationale pilotée par le Genoscope révèle que les mirusvirus sont bien plus diversifiés et répandus que ce qui était connu jusqu’à aujourd’hui. Leur mode de réplication en fait une lignée virale unique dans le monde des virus géants.
Les Instituts Jacob et Joliot proposent un outil structurant pour analyser les dépendances critiques, orienter les investissements et renforcer l'autonomie stratégique de l'Europe dans le domaine biomédical à destination des décideurs publics.
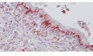
Des chercheurs du Département IDMIT ont démontré le rôle d’une population spécifique de macrophages intestinaux dans le contrôle du VIH après l’arrêt de traitement antirétroviral.
Les récifs coralliens comptent parmi les écosystèmes marins les plus riches en biodiversité notamment sur leur microbiome. Les auteurs, dont le Genoscope, ont cherché à dresser une cartographie systématique de cette diversité microbienne.
Des chercheurs du Genoscope montrent que certains composants centraux de l’horloge circadienne varient fortement selon la latitude, suggérant une adaptation des mécanismes temporels aux environnements lumineux locaux.
Le projet TRIGLITEP, labellisé PRIME par le CNRS vise à lever un verrou majeur de l'imagerie cérébrale : la validation biologique des biomarqueurs de la neuroinflammation.
Le SRHI, en collaboration avec différents partenaires, montre que le dosage de HLA-G associé aux vésicules extracellulaires permet d’anticiper la survenue d’une dysfonction chronique de greffons pulmonaires.
Toutes les actualités scientifiques
Tom Delmont, chercheur au laboratoire de Génomique Métabolique du Genoscope a obtenu la Médaille de bronze du CNRS 2026.
Du 5 au 9 janvier 2026, le DRCM, l’Institut Pasteur et l’UFR Sciences du Vivant de l’Université Paris Cité ont co-organisé une semaine de travaux pratiques pour les étudiants de Master 2 des parcours Magistère Européen de Génétique et Biologie Moléculaire et Cellulaire, dans le cadre de l’UE « 3R et stabilité des génomes / Cours Pasteur-CEA-UPCité ».
Parmi les 350 structures de recherche de l’Inserm, les travaux du Département IDMIT portant sur la caractérisation d’un vaccin contre le virus monkeypox font partie des 36 avancées scientifiques sélectionnées par l’Inserm.
Le projet COUNTERACT, coordonné par le CEA et co-financé par le Fond Européen de Défense 2021, a tenu sa 3ème Assemblée Générale les 29-30 janvier 2026 sur le site de Fontenay-aux-Roses.
Le mercredi 28 janvier, le personnel de l’Institut s’est retrouvé à l’Espace Zoé, le premier réacteur nucléaire de France, sur le site de Fontenay-aux-Roses, à l’occasion de sa cérémonie des vœux 2026. Un rendez-vous chaleureux, pensé comme un temps de partage : revenir sur l’année 2025, célébrer le travail collectif… et se projeter ensemble vers 2026
Séminaire | CEA Paris-Saclay, Institut de Biologie François Jacob, Département IDMIT
Séminaire | CEA Paris-Saclay, site de Fontenay-aux-Roses, Visioconférence Livestorm
Acteur majeur de la recherche, du développement et de l'innovation, le CEA intervient dans quatre grands domaines : énergies bas carbone, défense et sécurité, technologies pour l’information et technologies pour la santé.