La neuroinflammation est un mécanisme de l'immunité cérébrale qui assure la protection du cerveau des agressions extérieures et permet le maintien de son homéostasie. Son rôle dans certaines maladies neurodégénératives est débattu depuis quelques années. Dans le cas de la maladie de Parkinson, des études réalisées sur des échantillons cérébraux post-mortem de patients parkinsoniens ont suggéré une forte implication de la composante neuroinflammatoire dans le processus neurodégénératif qui cible principalement les neurones dopaminergiques* entre la substance noire et le striatum. Cependant, plusieurs questions restent en suspens comme la topographie précise de la neuroinflammation chez les malades, ou la relation entre la diminution de production de dopamine et la réponse neuroinflammatoire.
Le témoin de la composante inflammatoire est l'activation des cellules immunitaires cérébrales (microglie et astrocytes), qui peut être visualisée en imagerie Tomographique à Emission de Positons (TEP). L'imagerie TEP est une technique non invasive d'imagerie fonctionnelle utilisée pour suivre l'activité métabolique des tissus grâce à des radiotraceurs. Elle représente ainsi un outil de choix pour observer et quantifier l'activation de l'immunité cérébrale. Parmi les différents radiotraceurs disponibles, le [18F]-DPA714 est un des plus prometteurs pour une utilisation clinique dans ce domaine. En effet, il se fixe sur une protéine transmembranaire mitochondriale des cellules immunitaires (la TSPO), qui est surexprimée lors de la réponse inflammatoire, ce qui en fait un radiotraceur spécifique de la neuroinflammation en imagerie TEP cérébrale
Dans une étude publiée dans le journal Parkinsonism & Related Disorders, les chercheurs de MIRCen, en collaboration avec BioMaps (SHFJ /CEA-Joliot) et les hôpitaux Henri Mondor et Saint-Anne ont analysé par imagerie TEP la réponse neuroinflammatoire d'une cohorte de 25 sujets atteints par la maladie de Parkinson à différents stades et l'ont corrélée à la progression de la maladie. Deux types de radiotraceurs ont été utilisés en parallèle : d'une part le [18F]-DPA714 pour observer la topographie de l'activation de la microglie chez les patients malades par rapport aux sujets sains, et d'autre part le [11C]-PE2I, spécifique des transporteurs présynaptiques de la dopamine, et qui permet donc d'estimer la mort des neurones dopaminergiques dans les cerveaux atteints par la maladie.
Les résultats ont montré une augmentation significative de la fixation du [18F]-DPA714 dans des régions cérébrales très précises des patients : la substance noire, le putamen et le cortex frontal. Il est intéressant de souligner que la substance noire est la région qui abrite les neurones dopaminergiques qui dégénèrent, elle est donc atteinte de façon très précoce dans la maladie de Parkinson. Le putamen fait partie des régions principales vers lesquelles les neurones dopaminergiques projettent leur prolongement depuis leur origine dans la substance noire. Ce n'est donc pas un hasard que la neuroinflammation soit détectée dans ces régions, et que son intensité soit plus forte du côté le plus atteint cliniquement. Ces résultats confirment ce qui a déjà été observé par d'autres équipes, mais avec d'autres traceurs de la TSPO et sur des cohortes de moindre ampleur.
D'autre part, il semblerait que l'augmentation de la neuroinflammation observée ne suive pas l'évolution du processus dégénératif de la maladie de Parkinson dans ces régions. Sa présence pourrait n'être liée qu'à certaines phases de la pathologie mais cet aspect reste à confirmer.
La neuroinflammation semble cependant suivre, dans l'ensemble du manteau cortical**, une graduation significative en fonction de la gravité de la maladie, suggérant que ce processus inflammatoire suit la diffusion des processus pathologiques lésionnels depuis la substance noire vers le cortex.

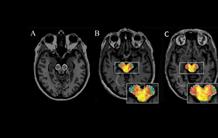
Augmentation de la
neuroinflammation dans la substance noire chez un patient atteint de la maladie
de Parkinson par rapport à un sujet sain : A : IRM représentative
montrant la délimitation faite au niveau de la substance noire (droite et
gauche) pour analyser la fixation du [18F]-DPA714 dans cette région. B : sur le même plan de
coupe, superposition de l’IRM et de l’image TEP [18F]-DPA714 chez un
sujet sain. On voit dans la région de la substance noire bilatérale qu’il y a
très peu de fixation du radiotraceur. C : Chez un sujet atteint de
la maladie de Parkinson représentatif de l’étude, la fixation du traceur est
augmentée du côté le plus atteint, c’est-à-dire du côté opposé à celui présentant
les symptômes cliniques chez le patient. Crédit : Sonia
Lavisse/LMN/MIRCen
Cette étude a donc permis de suivre la présence et la distribution d'une neuroinflammation chez des sujets atteints par la maladie de Parkinson en utilisant comme radiotraceur le [18F]-DPA714. La bonne visualisation de l'augmentation de la réponse neuroinflammatoire dans les régions atteintes par la maladie ouvre la voie à une utilisation de ce radiotraceur dans l'évaluation de médicaments anti-inflammatoires spécifiques chez les patients atteints de la maladie de Parkinson.
* : La maladie de Parkinson se caractérise principalement par la mort d'un certain type de neurones, les neurones dopaminergiques. Ces neurones qui sécrètent comme neurotransmetteur la dopamine, sont situés préférentiellement dans une très petite région du cerveau, la substance noire ou « locus niger ».
** : Le cortex désigne la partie périphérique des hémisphères cérébraux, encore appelée manteau cortical.