Vous êtes ici : Accueil > Actualités > L’imagerie cérébrale atteint une précision inédite chez l’enfant dès 6 ans

Communiqué de presse | Santé & sciences du vivant | Cerveau | Diagnostic et thérapies innovantes

L’imagerie cérébrale atteint une précision inédite chez l’enfant dès 6 ans


​Une nouvelle ère s’ouvre dans l’exploration du cerveau en développement. Pour la première fois en France, des images du cerveau d’un enfant de 6 ans ont été obtenues grâce à une IRM à 7 teslas. Cette avancée inédite, rendue possible par une équipe de scientifiques au CEA, ouvre de nouvelles perspectives pour la recherche sur les troubles du neurodéveloppement et les maladies du cerveau de l’enfant.

Publié le 3 juillet 2025

​Installée depuis 2007 à NeuroSpin au CEA Paris-Saclay, l’IRM 7 teslas (puissance du champ magnétique de la machine), est un outil d’imagerie de pointe parmi les plus avancés au monde. Jusqu’ici réservée aux adultes, la technologie a nécessité un long travail de recherche, de développement et de validation réglementaire pour être utilisée chez l’enfant. Cet effort d’innovation vise à mieux comprendre le neurodéveloppement, notamment ses variations typiques et pathologiques. L’IRM 7T permet en effet une meilleure résolution des images et des contrastes accrus, donnant accès à des détails invisibles aux champs magnétiques plus faibles jusque-là disponibles (1,5 ou 3T). Il permet de voir par exemple des anomalies de la structure fine du cervelet ou des lésions à l’intérieur même du cortex, des variations individuelles de l’activité cérébrale ou des anomalies du métabolisme. 

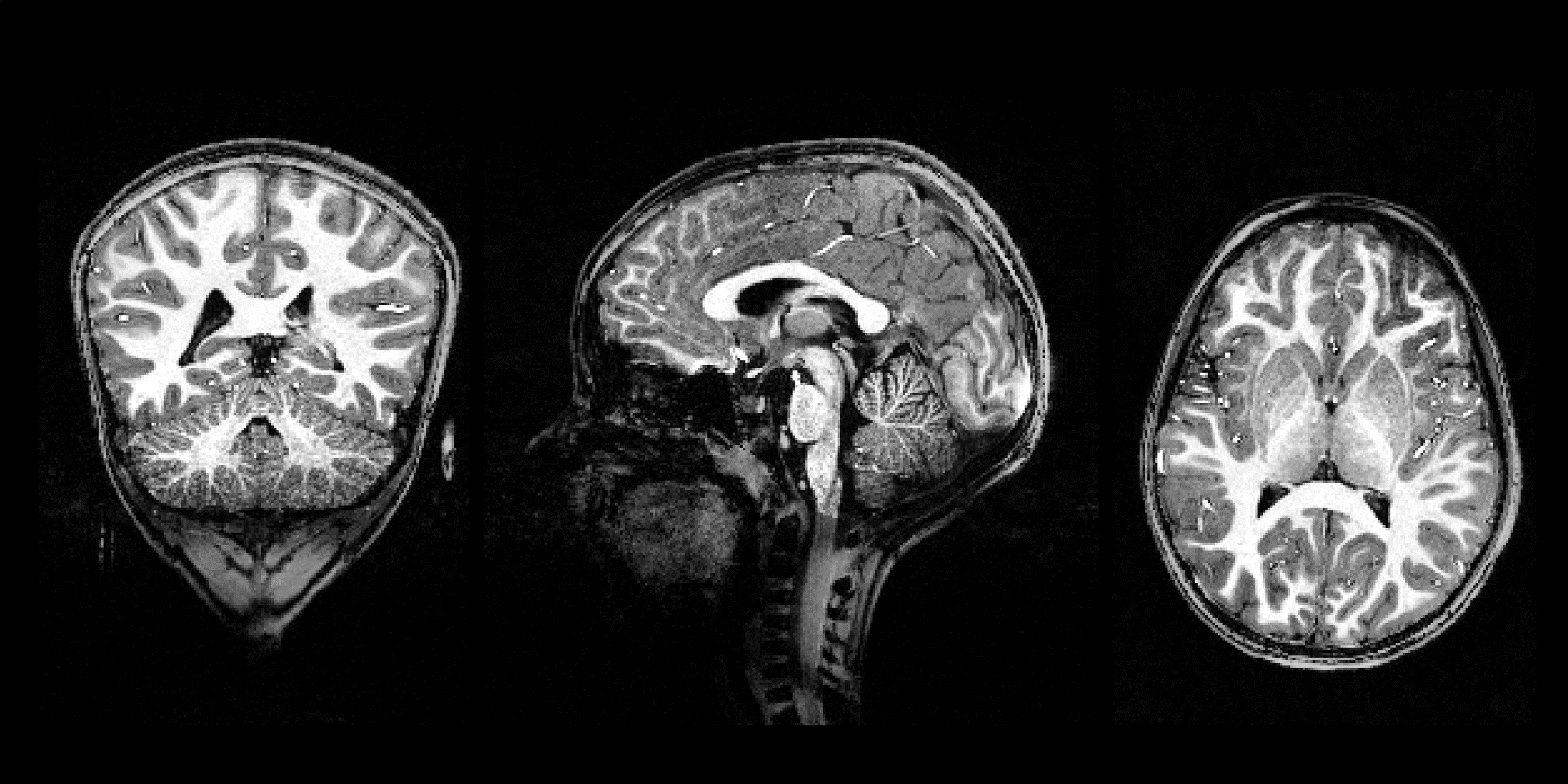
Cervelets_7T_enfants.pngCervelets d'enfant de 6 ans obtenus avec un IRM à 7T © CEA/NeuroSpin



« C’est une première mondiale à ce niveau de technicité des images et de garantie de sécurité. L’IRM 7T nous permet de voir ce que le 3T ne montre pas : les détails fins du cerveau, la vascularisation, le métabolisme cérébral… et son activité à l’échelle individuelle. C’est un apport majeur pour l’étude et la compréhension des troubles du neurodéveloppement et des maladies du cerveau de l’enfant, comme par exemple ceux causés par l’alcoolisation fœtale. Chez les enfants concernés, très affectés dans leur fonctionnement cognitif et dont le cervelet est trop petit, nous avons montré que les régions du cervelet les plus atteintes étaient des régions plutôt impliquées dans le fonctionnement moteur… Aujourd’hui, l’IRM à 3T ne nous permet pas d’explorer efficacement ce paradoxe neurodéveloppemental, alors nous nous tournons vers le 7T pour avancer » 
Dr David Germanaud, neuropédiatre à l’Institut Robert-Debré du Cerveau de l'Enfant et chercheur au CEA à NeuroSpin.


Un outil d’imagerie enfin accessible aux enfants


L’adaptation de l’IRM à 7T au cerveau en développement a été un choix d’orientation de notre recherche et développement dédié aux ultra-haut champs. Plusieurs années ont été nécessaires pour :

  • concevoir une antenne d’IRM adaptée à nos objectifs,
  • limiter les zones d’ombres qui dégradent la qualité des images à 7T grâce à la maitrise des technologies d’acquisition par IRM (transmission parallèle) 
  • modéliser précisément l’absorption des ondes radiofréquences utilisées en IRM pour une diversité de têtes d’enfant de moins de 12 ans et 30 kg, afin d’être en mesure de certifier le respect des recommandations de sécurité
  • réduire la durée d’acquisition de chaque type d’image à moins de 5 à 6 minutes (jusqu’à 30% de moins que chez l’adulte) 
  • obtenir l’autorisation de l’ANSM en présentant l’ensemble des garanties de sécurité totale, similaires aux champs magnétiques plus classiques (1,5 et 3T)

« Nous voulions offrir à l’enfant ce que la recherche permet déjà chez l’adulte. C’était un défi technique, mais c’est désormais une réalité. Ce travail relativement long nous a entre autres permis de démontrer que nos protocoles et dispositifs d’IRM à 7T présentaient l’ensemble des garanties de sécurité, similaires aux champs magnétiques plus classiques utilisés en routine à l’hôpital, en particulier en matière de débit d’absorption spécifique, le DAS plus connu pour les téléphones portables. », 
Vincent Gras, ingénieur-chercheur à NeuroSpin en charge de l’appareil IRM à 7T.


Des nouvelles perspectives pour la recherche sur le développement du cerveau de l’enfant

Cerveau enfant IRM 7T sans logo.PNG 
Cerveau d'un enfant de 6 ans obtenu avec un IRM à 7T © CEA/NeuroSpin


L’IRM 7T nous donne à présent accès à une richesse d’informations inédite sur le cerveau en développement et les bénéfices attendus sont considérables. Notre compréhension de la mise en place de l’architecture cérébrale (structures de substance grise interconnectées par de la substance blanche) va pouvoir gagner en finesse et relier les échelles macro et microscopiques. Le décryptage du développement des capacités cognitives et des apprentissages va pouvoir s’envisager beaucoup plus à l’échelle individuelle qu’à celle beaucoup plus grossière du fonctionnement moyen d’un groupe. Enfin, on peut s’attendre à la mise en évidence de nouveaux marqueurs pathologiques utiles dans le domaine du soin, des applications étant d’ores et déjà envisagées, comme par exemple l’amélioration de la détection des petites malformations du cortex responsables d’épilepsies débutant dans l’enfance qui peuvent bénéficier d’une intervention chirurgicale curatrice d’autant plus efficacement que la malformation est précisément localisée. 


« Grâce au 7T, nous allons mieux comprendre comment les fonctions cérébrales se construisent, sont perturbées, et se réorganisent chez l’enfant. Dans les troubles du neurodéveloppement, cette richesse d’information ouvre la voie à une approche plus individualisée, en tenant compte de la singularité de chaque trajectoire cérébrale développementale. » 
Jessica Dubois, chercheuse Inserm à NeuroSpin et à l’Institut Robert-Debré du Cerveau de l’Enfant.

Haut de page

Haut de page