At the SHFJ facility, the
imaging platform allows PET and MRI clinical exams.
Equipment of this imaging platfom includes :
- A clinical PET scan Biograph 6 (Siemens),
- A PET scanner for clinical and preclinical research : ECAT HRRT (Siemens) :,
- A PET/MR clinical hybrid system : SIGNA PET-MR (GE) :

© L. Godart/CEA
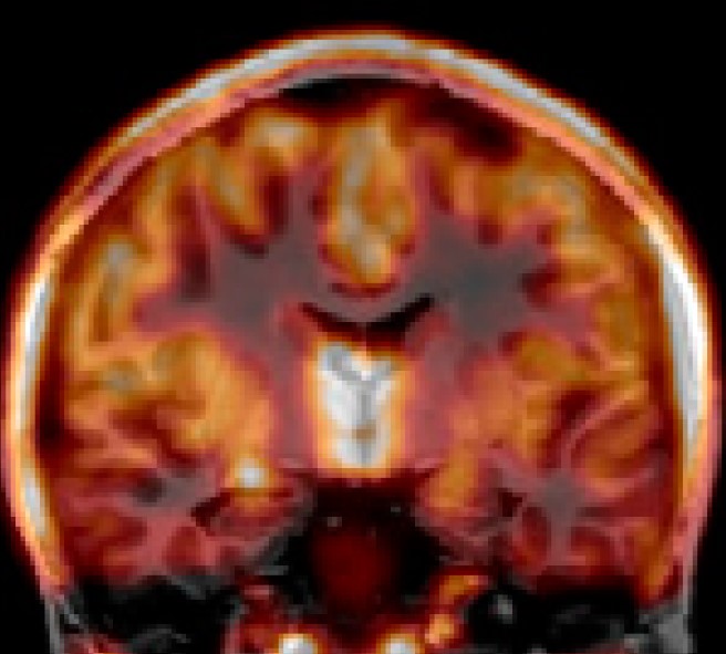
These high-resolution imagers (2-3 mm) enable very precise visualization of brain tissue and vascular structures, thus contributing to accurate image quantification.
Moreover, the PET/MR (3T) camera, still rare in France, allows simultaneous acquisition of PET images and MRI sequences with enhanced sensitivity for improved image quality and reconstruction.
The high spatial resolution of the clinical cameras at the SHFJ allows a true continuum of PET projects initially carried out in MIRCen on preclinical cameras in animal models of neurodegenerative diseases (link to preclinical PET).