Pour accéder à toutes les fonctionnalités de ce site, vous devez activer JavaScript. Voici les instructions pour activer JavaScript dans votre navigateur Web.
Bienvenue sur le site web de l'institut des sciences du vivant Frédéric-Joliot ! L'institut est composé de quatre départements : l'I2BC, le DMTS, NeuroSpin et le SHFJ. Les équipes de l'institut étudient les mécanismes du vivant pour produire des connaissances et répondre à des enjeux sociétaux au cœur de la stratégie du CEA (santé et médecine du futur, transition énergétique, transition numérique).
L'institut Frédéric Joliot est composé de quatre entités de recherche
Pour mener à bien leurs travaux, les équipes de l'institut des sciences du vivant Frédéric Joliot ont développé des plateformes technologiques de premier plan dans de nombreux domaines : imagerie biomédicale, biologie structurale, métabolomique, criblage haut-débit, laboratoire de sécurité biologique de niveau 3...
Les actualités de l'Institut des sciences du vivant Frédéric Joliot
Une étude collaborative entre les instituts BIAM et Joliot (SPI/DMTS) démontre la faisabilité d’un marquage isotopique corporel quasi intégral au carbone 13 chez la souris et pose les bases d’une métabolomique globale, quantitative et sans a priori. Une approche inédite qui pourrait également permettre d’explorer certaines perturbations métaboliques.
Des équipes du DMTS ont caractérisé 17 candidats-anticorps monoclonaux dirigés contre la ricine par deux approches biophysiques originales. L’identification des résidus de ricine impliqués dans la reconnaissance fonctionnelle des anticorps ouvre la voie au développement d'anticorps thérapeutiques monoclonaux puissants contre cette toxine naturelle, agent du bioterrorisme.
Bertrand Thirion, chercheur au CEA-Joliot reconnu pour ses travaux sur les méthodologies statistiques avancées appliquées à l'imagerie cérébrale, est élu à l'Académie des sciences. Il siègera au sein de la section applications des sciences.
Une équipe de l’I2BC a dévoilé les étapes du processus d’assemblage et de régulation de la synthèse des centres Fer-Soufre, cofacteurs métalliques essentiels à de nombreuses fonctions biologiques, dont la déficience entraine des pathologies comme l’ataxie de Friedreich. Ces travaux constituent des avancées majeures pour le développement de futurs traitements.
Une équipe du SHFJ a mis au point une méthode originale de spirométrie 3D par résonance magnétique pulmonaire chez une cohorte de volontaires respirant librement. Cette approche a révélé l’existence de motifs communs entre les individus qui dépendent principalement de la gravité. Un pas vers une caractérisation physiopathologique régionale des maladies respiratoires.
Des chercheurs de BioMaps (SHFJ) et de MOODS ont validé une approche innovante de neuroimagerie moléculaire permettant de suivre, de manière non-invasive, les effets de la kétamine sur la densité synaptique dans un modèle préclinique de dépression.
Des chercheurs de BioMaps (SHFJ) propose une nouvelle méthode de reconstruction pour l’imagerie TEP, combinant algorithmes d’optimisation et réseaux neuronaux profonds. Leur approche de régularisation « plug-and-play » garantit une meilleure qualité d’images liée à l’apprentissage dédié à la reconstruction TEP tout en assurant stabilité et robustesse.
COMMUNIQUÉ DE PRESSE
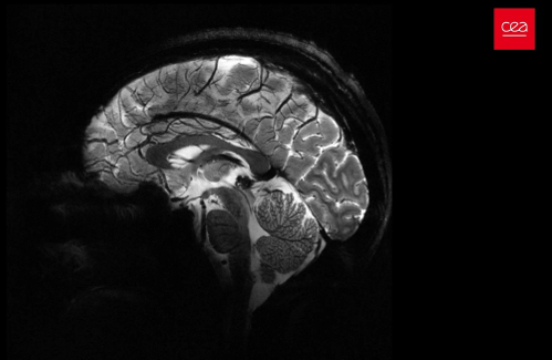
Une nouvelle ère s’ouvre dans l’exploration du cerveau en développement. Pour la première fois en France, des images du cerveau d’un enfant de 6 ans ont été obtenues grâce à une IRM à 7 teslas. Cette avancée inédite, rendue possible par une équipe de scientifiques au CEA, ouvre de nouvelles perspectives pour la recherche sur les troubles du neurodéveloppement et les maladies du cerveau de l’enfant.
Une étape décisive pour transformer la compréhension des vulnérabilités neuro-développementales, améliorer la prévention et faciliter les apprentissages avec le lancement officiel ce 19 mars de l'Institut Robert Debré du Cerveau et de l'Enfant.
REPORTAGE | CONFÉRENCE
En amont de la conférence qu’ils donneront lundi sur la chaine Youtube du CEA, Benoit Larrat (ex NeuroSpin et CEO de TheraSonic) et Nicolas Tournier (SHFJ) ont été interviewés par Le Figaro.
Agenda | Centre CEA Paris-Saclay - Site de Saclay – Bâtiments NeuroSpin & NeuroPSI
Retrouvez du 16 au 20 mars 2026, la 3e Semaine du Cerveau conjointe de NeuroSpin (CEA/Joliot) et de l'institut des Neurosciences Paris‑Saclay, NeuroPSI.
Photosynthèse, l'énergie pour les plantes...et pour l'humanité ?MOOC de Bruno Robert, chercheur.
Acteur majeur de la recherche, du développement et de l'innovation, le CEA intervient dans quatre grands domaines : énergies bas carbone, défense et sécurité, technologies pour l’information et technologies pour la santé.