Les scanners IRM à ultra haut-champ, comme l'IRM Iseult à 11,7 T implanté à NeuroSpin, offrent des images d'une résolution exceptionnelle, mais à ces champs, divers artefacts peuvent altérer la qualité des données. Les chercheurs de l'équipe METRIC (UMR BAOBAB/Neurospin) se sont intéressés à un type particulier d'altérations :
les artefacts en forme d'ondes, causés par le déphasage intra-voxel dans les zones où le champ magnétique est inhomogène.
Pourquoi ces artefacts sont-ils problématiques ?
Pour accélérer les acquisitions, les scientifiques utilisent des techniques algorithmiques et d'échantillonnage comme GRAPPA, qui reconstruisent l'image à partir de données partiellement acquises. Les lignes de calibration (ACS), essentielles à cette reconstruction, sont souvent de basse résolution et plus sensibles aux variations locales du champ magnétique. Dans les régions où ces variations sont fortes (comme près des sinus ou du cou), le signal se déphase à l'intérieur même des voxels, créant des interférences qui se propagent et brouillent l'image finale.
Comment les chercheurs proposent-ils de les atténuer ?
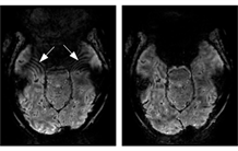
L'équipe montre que :
- Les ACS externes (avec un temps d'écho court) réduisent significativement les artefacts, car elles préservent mieux le signal dans les zones perturbées ;
- L'augmentation du nombre de lignes ACS améliore la qualité de l'image, mais au prix d'un temps d'acquisition légèrement plus long ;
- L'optimisation des paramètres de reconstruction (comme la taille des kernels) permet de limiter les artefacts, sans toutefois les supprimer totalement ;
- L'excitation sélective (pour éviter les zones problématiques) est une solution efficace, mais elle nécessite un réglage spécifique à chaque cas.
Un enjeu pour la recherche et la médecine
Ces artefacts peuvent fausser les résultats, notamment dans les études sur les maladies neurodégénératives ou les cartographies cérébrales. En comprenant leur origine, les chercheurs améliorent la fiabilité des images, un atout majeur pour la recherche et les applications cliniques.
Contact Institut des sciences du vivant Frédéric-Joliot :

Financement européen
Ce travail a été réalisé dans le cadre du projet FET OPEN "AROMA" coordonné par NICOLAS BOULANT.
FINANCEMENT PIA3LE projet a bénéficié d'un soutien dans le cadre de PRESENCE, financé par l'action "Équipements structurants pour la recherche : EquipEx+".