Vous êtes ici : Accueil > Entités de recherche > SHFJ > Les unités associées > Epilepsie de l'enfant et plasticité cérébrale UMR1129

Laboratoire | Cerveau


UMR 1129

Epilepsie de l'enfant et plasticité cérébrale

Publié le 3 janvier 2022

L'Unité est dirigée par Catherine Chiron et comprend 20 chercheurs, enseignants-chercheurs ou cliniciens, et 15 doctorants ou post-doctorants. Lucie Hertz-Pannier y est responsable du groupe Imagerie, qui compte 11 personnes. L’UMR1129 est implantée au SHFJ et à Neurospin. Ce groupe imagerie intègre l'unité UNIACT dans l'équipe Unipédia (site).

Présentation de l'unité

Les épilepsies de l’enfant représentent un problème majeur de Santé Publique car elles sont fréquentes (maladie neurologique pédiatrique n°1), source de retard mental et de résistance aux traitements. Plus fréquentes que celles de l’adulte, elles sont aussi plus hétérogènes, varient avec l’âge et retentissent sur le développement intellectuel. La petite enfance est une période « à risque » d’épilepsie du fait d’une excitabilité accrue des réseaux neuronaux immatures, toutefois les relations précises entre les épilepsies de l’enfant et la plasticité cérébrale sont encore mal connues.

Notre Unité Inserm UMR1129, récemment mutualisée CEA, « Epilepsies de l’enfant et plasticité cérébrale » est un groupe de recherche clinique et fondamentale leader dans le domaine et très original par sa composition pluri- et transdisciplinaire qui intègre imagerie, neuropsychologie, pharmacologie, génétique et électrophysiophysiologie.  Nous avons en particulier structuré depuis plus de 20 ans un programme de recherche visant à développer, adapter et valider pour les enfants les différentes techniques d’imagerie structurelles et fonctionnelles de pointe du CEA (IRM avec diffusion et DTI, IRM fonctionnelle d’activation et de repos, SPECT ictal, TEP-FDG).

 

© UMR1129 CEA - SPECT ictal : le foyer épileptique 
et sa propagation chez un enfant de 10 ans avec épilepsie temporale

Nous avons ainsi montré comment se développent les réseaux cérébraux de neurones qui sous-tendent la mémoire à long terme pendant l’enfance et comment les émotions les modulent, augmentant ainsi les capacités d’apprentissage et expliquant pourquoi ces fonctions spécifiques sont altérées en cas d’épilepsie temporale. Nous avons également visualisé le développement des faisceaux de fibres qui relient les principaux réseaux cérébraux depuis la toute petite enfance et celui de l’activité cérébrale encore antérieure, chez le bébé prématuré. Parmi nos travaux d’imagerie avec le plus fort impact médical, nous avons été les premiers à faire de l’IRM fonctionnelle de langage chez l’enfant et à constituer une base de données contrôle pédiatrique pour l’analyse par SPM de la TEP en FDG chez l’enfant, contribuant à imposer ces techniques  en routine dans le bilan préchirurgical des épilepsies infantiles et à améliorer significativement le pronostic de ces patients.

 

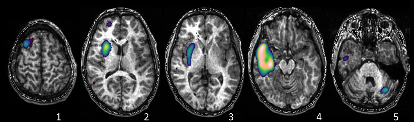
© UMR1129 CEA - FDG-TEP chez un enfant de 8 ans avec épilepsie focale et une IRM négative

Nos projets d’imagerie ont pour but d’étudier l’impact de maladies neurologiques précoces (épilepsie, anoxie périnatale, pathologies génétiques, ..) sur le développement et la réorganisation cérébrale. Il s’agit de tester l’hypothèse selon laquelle celles-ci ont un risque d’autant plus grand de retentissement cognitif et de pharmaco-résistance mais aussi des possibilités de récupération d’autant plus élevées, que l’enfant est plus jeune et donc le cerveau plus immature. Conjointement à ces protocoles d’imagerie réalisés chez des patients et des sujets pédiatriques, l’U1129 mène aussi une recherche de pointe en thérapeutique pour améliorer le développement de nouveaux médicaments pour les enfants atteints de ces maladies et une recherche expérimentale sur les modèles animaux correspondants de souris transgéniques immatures. Ce programme est susceptible de faire progresser la connaissance et le traitement des formes sévères de ces affections et d’améliorer le pronostic cognitif et social des enfants atteints.

Pour en savoir plus, rendez-vous sur notre site.
​Organigramme de l'unité