Vous êtes ici : Accueil > Actualités > De la protéomique pour évaluer la toxicité des nanos

Nanotoxicologie | Protéomique

De la protéomique pour évaluer la toxicité des nanos


​Les nanoparticules de cuivre peuvent-elles être nocives ? Par quels mécanismes ? Une équipe du CEA-IRTSV met en œuvre des outils de protéomique pour répondre à ces questions. Avec un éclairage intéressant sur la toxicité croisée. Explications.

Publié le 13 janvier 2013

​Les nanoparticules de cuivre et d'oxyde de cuivre sont utilisées comme encres conductrices[1] ou encore dans la dépollution de l’eau. Si un organisme venait à ingérer de telles particules, que se passerait-il ? En particulier, comment les macrophages, ces cellules spécialisées dans la réponse immunitaire et l’ingestion et la destruction de particules en tout genre (débris cellulaires, bactéries, etc.), seraient-elles impactées ?

« Les macrophages sont connus pour ingérer les nanoparticules, explique Thierry Rabilloud. Notre objectif est de savoir si cette ingestion les altère et les empêche de continuer à faire leur travail de nettoyage. » Les chercheurs du CEA-IRTSV ont étudié les réponses des macrophages aux nanoparticules de cuivre et d’oxyde de cuivre, à des doses faiblement toxiques, par une analyse protéomique, un criblage à large spectre basé sur l’expression des protéines. Ils ont mis en évidence des perturbations des fonctions clé des macrophages, notamment la phagocytose[2] et la production de médiateurs inflammatoires. D’autres dysfonctionnements ont été mis à jour, par exemple au niveau des mitochondries, les organites qui produisent l’énergie de la cellule. « Ces études ont aussi permis de pointer du doigt des phénomènes de toxicité croisée, poursuit le biologiste. Deux substances qui, prises séparément, n’induisent peu ou pas de problèmes, peuvent devenir hautement toxiques si elles sont couplées. C’est le cas lorsque les deux substances fragilisent les cellules sous deux angles d’attaque différents. » Cette toxicité croisée a été observée, par exemple entre certains pesticides biologiques (roténone) et des nanoparticules d’oxyde de cuivre, voire les sels de cuivre, principal constituant de la bouillie bordelaise[3].

 

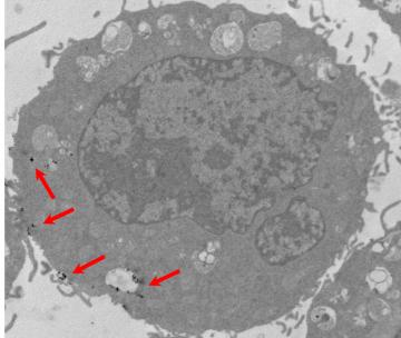
Un macrophage mis en contact avec les nanoparticules qu'il ingère (flèches rouges)

1] Encres utilisées pour produire des motifs conducteurs, notamment sur des composants électroniques.

[2] Capture et ingestion de particules
[3] Pesticide largement utilisé, toléré en agriculture biologique, fabriqué par neutralisation d'une solution de sulfate de cuivre par de la chaux éteinte. 

Haut de page

Haut de page