Pour accéder à toutes les fonctionnalités de ce site, vous devez activer JavaScript. Voici les instructions pour activer JavaScript dans votre navigateur Web.
Direction de la recherche fondamentale
Présentation de la Direction de la recherche fondamentale
Retrouvez toutes les ressources multimédia de la DRF
Vous voulez participer au développement de la recherche dans le domaine de la santé, des bioénergies, des énergies,de la physique, de la chimie, des sciences du vivant ? Vous souhaitez un parcours professionnel motivant dans une communauté scientifique pluridisciplinaire ? Rejoignez les équipes de la DRF, ouvertes à la fois sur la recherche internationale et le monde industriel.
L’énergie nucléaire est décarbonée mais génère des questions d’acceptation sociétale. La DRF contibue aux recherche sur la fission via l’étude des données et modèles nucléaires, des matériaux sous irradiation, des impacts sur l’environnement et sur l’homme. La fusion est une possible voie alternative explorée au niveau international.Les efforts dans le domaine des nouvelles technologies de l’énergie sont focalisés sur le stockage électrochimique de l’énergie, l’économie circulaire du carbone, le recyclage et la compréhension des processus fondamentaux des processus de conversion de l’énergie et des systèmes complexes.
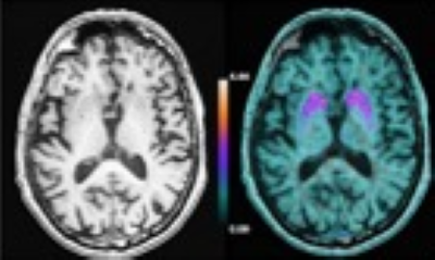
La DRF est au CEA le premier acteur de cette transition à la fois par ses recherches en sciences du vivant et par les instruments qu’elle développe. En terme de santé numérique, le CEA est leader en imagerie cérébrale avec des installations phare comme la TEP-IRM, l’IRM très haut champ ou la MEG. L’enjeu de santé est le développement de diagnostics et les études des maladies cérébrales. La DRF est pionnière des approches « omiques » avec la génomique et la métabolomique. En recherche, l'enjeu aujourd’hui est de passer à une approche multi-omiques et de corréler cette masse de données multimodales à des pathologies et des indications thérapeutiques.
Acteur majeur de la recherche, du développement et de l'innovation, le CEA intervient dans quatre grands domaines : énergies bas carbone, défense et sécurité, technologies pour l’information et technologies pour la santé.