Vous êtes ici : Accueil > Actualités > Repérer des tumeurs cérébrales grâce aux vibrations naturelles du corps

Résultat scientifique | Découvertes et avancées | Santé & sciences du vivant | Diagnostic et thérapies innovantes | IRM | Cancer | Cerveau

Repérer des tumeurs cérébrales grâce aux vibrations naturelles du corps


​​Des chercheurs du CEA-Joliot ont développé en collaboration avec l'université et l'hôpital de Tours une méthode de détection de tumeurs cérébrales qui repose sur l'analyse des vibrations naturelles produites dans le corps. Appelée élastographie passive par résonance magnétique, la méthode est inspirée des outils d'analyse des sismologues et offre l'avantage de ne pas nécessiter l'utilisation d'une source de vibrations externes au corps. Elle a déjà prouvé son efficacité en essai clinique.​​​

Publié le 2 février 2026

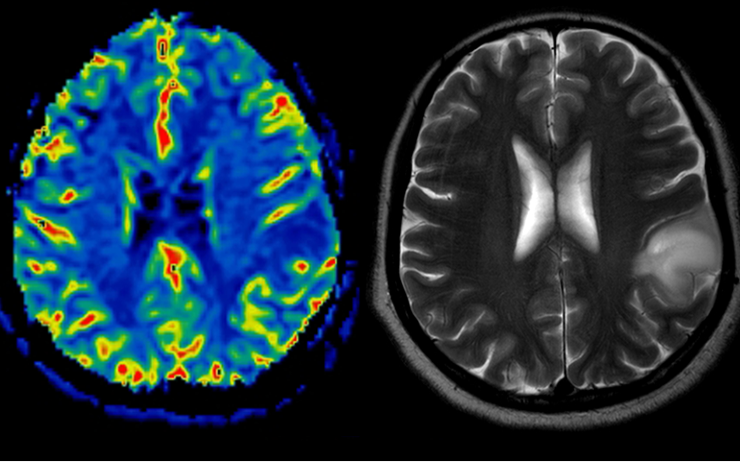
Une approche inspirée par la sismologie

L'élastographie passive par résonance magnétique (pMRE) est une méthode d'imagerie médicale qui permet d'évaluer l'élasticité (également appelée dureté) des tissus biologiques et organes. Cette méthode permet entre autres de détecter des tumeurs qui ont une dureté différente des tissus sains. Inspirée de notions de tomographie par corrélation de bruit utilisées en sismologie (technique d'imagerie qui permet de reconstituer le volume d'un objet à partir de la mesure des ondes à sa surface), elle consiste à analyser les vibrations naturelles du corps, comme celles induites par les battements du cœur ou la respiration. L'approche développée en collaboration avec le LabTau (Inserm, Université Lyon 1) permet alors d'estimer la dureté via le bruit généré par ces vibrations sur l'image IRM acquise..

Plusieurs applications cliniques potentielles

Dans leur étude, les chercheurs de BioMaps et de NeuroSpin (CEA-Joliot) en collaboration avec l'hôpital de Tours et iBraiN (université de Tours) ont conçu et développé une séquence innovante de pMRE, dans le cadre d'un essai clinique mené chez 18 patients porteurs de différents types de tumeurs cérébrales (12 porteurs de tumeurs malignes et 6 de tumeurs bénignes).

Ils ont comparé les résultats pMRE aux paramètres mesurés par une élastographie par ultrasons  réalisée en échographie pendant la résection chirurgicale de la tumeur et ont constaté que les valeurs de longueur d'onde des tumeurs obtenues par pMRE étaient significativement corrélées à celles obtenues par l'élastographie ultrasonore. De manière tout à fait intéressante, la pMRE a permis, via la mesure de la longueur d'onde, de distinguer les tumeurs malignes des tumeurs bénignes.

Une imagerie mieux tolérée par les patients

Ces résultats montrent que la pMRE est une méthode à la fois non-invasive, efficace et bien tolérée par les patients. Elle est susceptible de fournir des informations cruciales pour la détection précoce, la planification chirurgicale, le suivi du traitement ou encore la compréhension des processus tumoraux. Dans un contexte de défi oncologique, l'approche d'élastographie passive présentée dans cette étude est sensible, n'ajoute pas de difficultés techniques comparée à un examen standard et apporte plus de confort au patient qu'un examen d'élastographie par IRM classique.


Haut de page