Vous êtes ici : Accueil > Actualités > PET KinetiX : le nouveau logiciel qui tire parti de la TEP dynamique

Résultat scientifique | Découvertes et avancées | Santé & sciences du vivant | Imagerie médicale | Tomographie par émission de positons

PET KinetiX : le nouveau logiciel qui tire parti de la TEP dynamique


​Une collaboration de chercheur impliquant le CEA-Joliot a participé au développement de PET KinetiX : un logiciel capable de générer des images 3D du corps humain pour suivre la circulation des biomarqueurs de certains cancers. Utilisé pour l’imagerie TEP, il pourrait permettre aux médecins d’obtenir de nouvelles données biologiques sur leurs patients. Après de premiers essais prometteurs sur un simulateur numérique, le logiciel est désormais testé dans plusieurs centres hospitalo-universitaires.

Publié le 10 décembre 2025

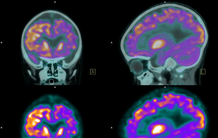
​La tomographie par émission de positons (TEP) est un outil d'imagerie médicale qui permet de détecter certaines cellules cancéreuses. Pour cela, les médecins administrent une substance qui a été rendu radioactive (généralement un sucre) puis observent les zones où elle s'est concentrée dans l'organisme, les cellules cancéreuses accumulant généralement plus la substance que les cellules saines.

A l'heure actuel en clinique, il n'existe que des TEP statiques dont la cartographie est effectuée uniquement à un instant t. Elle permet donc aux médecins de connaître la répartition du produit sans avoir d'informations cependant sur les processus qui ont mené à ce résultat.

Les TEP dynamiques – qui suivent au cours du temps la circulation et la répartition de la substance radioactive dans le corps – sont pour le moment réservés au domaine de la recherche. Mais une collaboration de chercheurs, impliquant le groupe BioMaps (CEA-Joliot, Inserm/CNRS/Université Paris-Saclay), a mis au point un logiciel capable d'analyser très rapidement les images dynamiques TEP et qui pourrait être utilisé en clinique.​

Première mise à l'épreuve réussie sur un simulateur numérique

Appelé « PET KinetiX », le logiciel est capable de modéliser très rapidement les paramètres biologiques pour générer des images 3D des flux d'échanges intracellulaires du radiomarqueur en fonction du temps. Compatible avec tous les appareils TEP, il a été testé sur les données fournies par un simulateur haute résolution de l'anatomie humaine qui a reproduit plus de 400 TEP dynamiques sur des organes et parties du corps différents.

PET KinetiX a ainsi pu démontrer qu'il était capable de produire des TEP dynamique avec un niveau de détail identique à celui d'images TEP cliniques standards et même meilleur dans le cas de données provenant d'appareils récents à champ de vision étendu. Le logiciel ouvre ainsi la voie à une utilisation de la TEP dynamique en clinique qui fournira aux médecins de nouvelles données biologiques importantes pour le diagnostic et le suivi des patients. Développé avec le laboratoire de mathématiques d'Orsay, il est actuellement testé académiquement dans plusieurs centres hospitalo-universitaires en Europe et en Amérique.

 
Voir plus sur le site de Joliot


Haut de page