L'ordre des primates est une branche des mammifères apparue sur terre il y a environ 60 millions d'années. Cet ordre a divergé en de nombreuses lignées, donnant naissance à des espèces aussi différentes que les lémuriens de Madagascar, les singes du Nouveau Monde (ouistitis, singes-araignées…) et ceux de l’Ancien Monde (macaques, babouins…) ou encore la famille des grands singes, comme les gorilles et les chimpanzés, dont est issue la lignée humaine. Le cerveau des primates et leurs facultés cognitives ont évolué différemment selon ces lignées. Comprendre les mécanismes cérébraux qui sous-tendent l’évolution de la cognition est un des plus grands défis de la recherche évolutionniste.
Le néocortex, couche externe du cerveau, est impliqué dans l’intégration des informations et la cognition. De nombreux articles datant des années 1980 suggèrent que le développement du cerveau et des facultés cognitives observé dans certaines lignées de primates est lié à l'augmentation de la taille du néocortex par rapport à l'ensemble du cerveau (mesure appelée "cérébrotype").
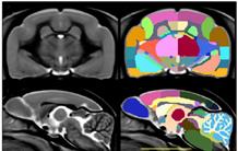
Des chercheurs de l'Institut François-Jacob ont créé un atlas anatomique numérique du cerveau du plus petit primate existant sur terre, le microcèbe murin (Microcebus murinus). Ce lémurien, doté d’un cerveau minuscule (2 grammes), est parfois considéré comme peu évolué car éloigné phylogénétiquement de l’homme. Ces chercheurs ont comparé son atlas cérébral avec celui d'autres espèces de primates (marmoset, macaque, homme). Ils ont montré que le ratio entre le volume du néocortex et l'ensemble du cerveau est constant chez tous les primates (proche de 56%). En d'autres termes, même si l'homme ou les singes ont un cerveau plus gros que celui des microcèbes, la part du néocortex sur l'ensemble du cerveau reste la même. Cette découverte remet en cause le dogme suggérant que l'évolution des primates est liée à une augmentation de la taille relative de leur néocortex. Ce dogme était basé sur des études post-mortem de cerveaux d’animaux réalisées avec des techniques tellement complexes qu'elles n'ont été mises en œuvre qu'une seule fois dans les années 80. Les scientifiques ont travaillé avec des données d'imagerie par RMN (résonance magnétique nucléaire) qui sont, elles, complétement reproductibles et utilisables par toute la communauté scientifique.
En revanche, l'étude montre que le ratio entre le volume de substance blanche (zone cérébrale contenant les fibres qui permettent à différentes régions du cerveau de communiquer entre elles) et l'ensemble du cerveau varie considérablement selon les types de primates. Ce ratio semble corrélé au niveau de développement cérébral et cognitif de l’espèce. En effet, il est faible chez le microcèbe, intermédiaire chez le macaque et maximal chez l’homme. Ces résultats mettent donc en évidence l'importance variable des réseaux de substance blanche chez les primates. Ces nouvelles données sont importantes pour mieux comprendre comment les cerveaux ont évolué et les règles qui expliquent leurs organisations. Ils montrent aussi l'importance des techniques d'imagerie pour explorer le cerveau.